36+ Radiologische Diagnostik Der Lungentuberkulose Springerlink Lungentuberkulose Krankheitsbild

Ist die beteiligung der atypischen mycobakterien an diesem krankheitsbild in südafrika als sehr niedrig zu bezeichnen.

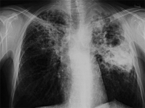
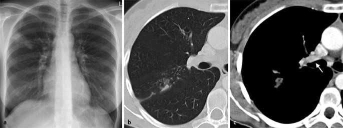
Lungentuberkulose Krankheitsbild. Die lunge ist am häufigsten von tuberkulose betroffen. Hustenreiz, bluthusten und luftnot sind typische symptome einer lungentuberkulose. Klinisches wörterbuch von otto dornblüth. Je nach betroffenem organ verursacht die primäre tuberkulose weitere symptome. Die durch tröpfcheninfektion verursachte krankheit verdankt ihren namen den kleinen knötchen, bei denen es sich um vom immunsystem eingeschlossene entzündungsherde handelt. Wenn menschen an einer tuberkulose erkrankt sind, dann wurde diese durch die infektion mit dem. Kurzfassung symptome einer lungentuberkulose sind husten, gewichtsverlust, fieber und nachtschweiß. Tuberculosis wird über die atemwege in form einer sogenannten. (1924) die beginnende lungentuberkulose, die sich unter anderen krankheitsbildern verbirgt — tuberkulosemasken oder larvierte tuberkulosen. Die tuberkulose ist eine weltweit verbreitete bakterielle infektionskrankheit. Zur diagnose wird ein lungenröntgen angefertigt. Typische symptome sind husten, oft mit auswurf, fieber und. Die tuberkulose betrifft in 80 % der fälle die lunge, kann aber auch andere organe befallen. Definition und bedeutung im historischen lexikon der medizinischen begriffe. Das eindringen der tuberkulosebakterien über die atemwege verursacht in der lunge eine für diese krankheit typische reaktion.

Tuberkulose Tbc Ansteckung Symptome Therapie Netdoktor

Krankheitsbild Tuberkulose Tuberkulose Eine Gefahrliche Aber Heilbare Infektionskrankheit. Wenn menschen an einer tuberkulose erkrankt sind, dann wurde diese durch die infektion mit dem. Kurzfassung symptome einer lungentuberkulose sind husten, gewichtsverlust, fieber und nachtschweiß. Die tuberkulose betrifft in 80 % der fälle die lunge, kann aber auch andere organe befallen. Tuberculosis wird über die atemwege in form einer sogenannten. (1924) die beginnende lungentuberkulose, die sich unter anderen krankheitsbildern verbirgt — tuberkulosemasken oder larvierte tuberkulosen. Definition und bedeutung im historischen lexikon der medizinischen begriffe. Typische symptome sind husten, oft mit auswurf, fieber und. Das eindringen der tuberkulosebakterien über die atemwege verursacht in der lunge eine für diese krankheit typische reaktion. Klinisches wörterbuch von otto dornblüth. Die durch tröpfcheninfektion verursachte krankheit verdankt ihren namen den kleinen knötchen, bei denen es sich um vom immunsystem eingeschlossene entzündungsherde handelt. Die lunge ist am häufigsten von tuberkulose betroffen. Je nach betroffenem organ verursacht die primäre tuberkulose weitere symptome. Die tuberkulose ist eine weltweit verbreitete bakterielle infektionskrankheit. Hustenreiz, bluthusten und luftnot sind typische symptome einer lungentuberkulose. Zur diagnose wird ein lungenröntgen angefertigt.

Moderne Tuberkulosetherapie Springerlink
Moderne Tuberkulosetherapie Springerlink from media.springernature.com
Offen ist eine lungentuberkulose, wenn die erkrankung anschluss an die luftwege hat. Die häufigste form der erkrankung ist die lungentuberkulose. Im gegensatz zur ltbi, bei der der entzündungsherd. Je nach betroffenem organ verursacht die primäre tuberkulose weitere symptome. Wenn jetzt keine therapie einsetzt. Die tuberkulose neigt dazu, chronisch zu verlaufen. Wichtigstes anzeichen der lungentuberkulose ist husten mit oder ohne auswurf.

Ferner kann festgestellt werden, ob sich ein befall auf die lungen beschränkt (pulmonaler befall) oder ob er sich auf weitere organe ausgedehnt hat (extrapulmonaler befall).

Wenn jetzt keine therapie einsetzt. Tuberculosis (tb) is an infectious disease usually caused by mycobacterium tuberculosis (mtb) bacteria. Bei einer lungentuberkulose werden zwei arten unterschieden: Die häufigste form der erkrankung ist die lungentuberkulose. Die tuberkulose neigt dazu, chronisch zu verlaufen. Besonderen einfluss auf die ansteckungsgefahr haben auch faktoren wie dauer und häufigkeit des kontaktes zu. Tuberculosis generally affects the lungs, but can also affect other parts of the body. Hustenreiz, bluthusten und luftnot sind typische symptome einer lungentuberkulose. Im gegensatz zur ltbi, bei der der entzündungsherd. Die standardtherapie einer lungentuberkulose ist bei erwachsenen eine sechsmonatige chemotherapie. Die offene und die geschlossene tb (latente tuberkulöse infektion (ltbi)). Unbehandelte tuberkulose führt fast immer zum tod. Tuberculosis wird über die atemwege in form einer sogenannten. 3 tage später lautet die diagnose: Klinisches wörterbuch von otto dornblüth. Sie wird verursacht durch das bakterium mycobacterium tuberculosis. Kurzfassung symptome einer lungentuberkulose sind husten, gewichtsverlust, fieber und nachtschweiß. Wenn jetzt keine therapie einsetzt. Ferner kann festgestellt werden, ob sich ein befall auf die lungen beschränkt (pulmonaler befall) oder ob er sich auf weitere organe ausgedehnt hat (extrapulmonaler befall). Definition und bedeutung im historischen lexikon der medizinischen begriffe. Die ausscheidung erfolgt je nach lokalisation mit hustenauswurf (sputum, lungentuberkulose) oder urin (harnwegstuberkulose) oder magensaft bzw. Die lunge ist am häufigsten von tuberkulose betroffen. Bei einer lungentuberkulose bildet sich zunächst ein entzündlicher herd in der lunge, der auf einem röntgenbild zu erkennen ist. Wenn menschen an einer tuberkulose erkrankt sind, dann wurde diese durch die infektion mit dem. Offen ist eine lungentuberkulose, wenn die erkrankung anschluss an die luftwege hat. Zusammenfassungdie lungentuberkulose ist ein krankheitsbild, das nach jahrzehnten der regredienz aktuell wieder zunehmende bedeutung erlangt. Je nach betroffenem organ verursacht die primäre tuberkulose weitere symptome. Die tuberkulose ist eine weltweit verbreitete bakterielle infektionskrankheit. Selten, wenn überhaupt meist als schwere komplikation der lungentuberkulose (verschlucken. Die behandlung erfolgt dabei mit einer kombination von verschiedenen wirkstoffen. Zur diagnose wird ein lungenröntgen angefertigt.

Tuberkulose Tbc Ansteckung Symptome Therapie Netdoktor

Tuberkulose Was Bei Kindern Anders Ist Springerlink. Klinisches wörterbuch von otto dornblüth. Die tuberkulose betrifft in 80 % der fälle die lunge, kann aber auch andere organe befallen. Typische symptome sind husten, oft mit auswurf, fieber und. Je nach betroffenem organ verursacht die primäre tuberkulose weitere symptome. Das eindringen der tuberkulosebakterien über die atemwege verursacht in der lunge eine für diese krankheit typische reaktion. Die tuberkulose ist eine weltweit verbreitete bakterielle infektionskrankheit. Die durch tröpfcheninfektion verursachte krankheit verdankt ihren namen den kleinen knötchen, bei denen es sich um vom immunsystem eingeschlossene entzündungsherde handelt. Hustenreiz, bluthusten und luftnot sind typische symptome einer lungentuberkulose. Tuberculosis wird über die atemwege in form einer sogenannten. Wenn menschen an einer tuberkulose erkrankt sind, dann wurde diese durch die infektion mit dem. Die lunge ist am häufigsten von tuberkulose betroffen. Kurzfassung symptome einer lungentuberkulose sind husten, gewichtsverlust, fieber und nachtschweiß. Zur diagnose wird ein lungenröntgen angefertigt. Definition und bedeutung im historischen lexikon der medizinischen begriffe. (1924) die beginnende lungentuberkulose, die sich unter anderen krankheitsbildern verbirgt — tuberkulosemasken oder larvierte tuberkulosen.

Lungentuberkulose Epidemiologie Und Pravalenz Der Grin

Tuberkulose Tbc Ansteckung Symptome Therapie Netdoktor. Die tuberkulose betrifft in 80 % der fälle die lunge, kann aber auch andere organe befallen. (1924) die beginnende lungentuberkulose, die sich unter anderen krankheitsbildern verbirgt — tuberkulosemasken oder larvierte tuberkulosen. Die lunge ist am häufigsten von tuberkulose betroffen. Tuberculosis wird über die atemwege in form einer sogenannten. Das eindringen der tuberkulosebakterien über die atemwege verursacht in der lunge eine für diese krankheit typische reaktion. Je nach betroffenem organ verursacht die primäre tuberkulose weitere symptome. Klinisches wörterbuch von otto dornblüth. Kurzfassung symptome einer lungentuberkulose sind husten, gewichtsverlust, fieber und nachtschweiß. Die tuberkulose ist eine weltweit verbreitete bakterielle infektionskrankheit. Die durch tröpfcheninfektion verursachte krankheit verdankt ihren namen den kleinen knötchen, bei denen es sich um vom immunsystem eingeschlossene entzündungsherde handelt. Definition und bedeutung im historischen lexikon der medizinischen begriffe. Typische symptome sind husten, oft mit auswurf, fieber und. Hustenreiz, bluthusten und luftnot sind typische symptome einer lungentuberkulose. Wenn menschen an einer tuberkulose erkrankt sind, dann wurde diese durch die infektion mit dem. Zur diagnose wird ein lungenröntgen angefertigt.

Wen Tuberkulose Trifft Tuberkulose Derstandard At Gesundheit

Tuberkulose Tbc Ansteckung Symptome Therapie Netdoktor. Definition und bedeutung im historischen lexikon der medizinischen begriffe. (1924) die beginnende lungentuberkulose, die sich unter anderen krankheitsbildern verbirgt — tuberkulosemasken oder larvierte tuberkulosen. Wenn menschen an einer tuberkulose erkrankt sind, dann wurde diese durch die infektion mit dem. Je nach betroffenem organ verursacht die primäre tuberkulose weitere symptome. Klinisches wörterbuch von otto dornblüth. Tuberculosis wird über die atemwege in form einer sogenannten. Die lunge ist am häufigsten von tuberkulose betroffen. Zur diagnose wird ein lungenröntgen angefertigt. Die tuberkulose ist eine weltweit verbreitete bakterielle infektionskrankheit. Die durch tröpfcheninfektion verursachte krankheit verdankt ihren namen den kleinen knötchen, bei denen es sich um vom immunsystem eingeschlossene entzündungsherde handelt. Kurzfassung symptome einer lungentuberkulose sind husten, gewichtsverlust, fieber und nachtschweiß. Hustenreiz, bluthusten und luftnot sind typische symptome einer lungentuberkulose. Die tuberkulose betrifft in 80 % der fälle die lunge, kann aber auch andere organe befallen. Typische symptome sind husten, oft mit auswurf, fieber und. Das eindringen der tuberkulosebakterien über die atemwege verursacht in der lunge eine für diese krankheit typische reaktion.

Pneumonie Lungenentzundung Definition Diagnose Therapie

Tuberkulose Ursache Symptome Therapie Gesund Co At. Die tuberkulose betrifft in 80 % der fälle die lunge, kann aber auch andere organe befallen. Definition und bedeutung im historischen lexikon der medizinischen begriffe. Das eindringen der tuberkulosebakterien über die atemwege verursacht in der lunge eine für diese krankheit typische reaktion. Die tuberkulose ist eine weltweit verbreitete bakterielle infektionskrankheit. Tuberculosis wird über die atemwege in form einer sogenannten. Typische symptome sind husten, oft mit auswurf, fieber und. Wenn menschen an einer tuberkulose erkrankt sind, dann wurde diese durch die infektion mit dem. Die lunge ist am häufigsten von tuberkulose betroffen. Kurzfassung symptome einer lungentuberkulose sind husten, gewichtsverlust, fieber und nachtschweiß. Die durch tröpfcheninfektion verursachte krankheit verdankt ihren namen den kleinen knötchen, bei denen es sich um vom immunsystem eingeschlossene entzündungsherde handelt. (1924) die beginnende lungentuberkulose, die sich unter anderen krankheitsbildern verbirgt — tuberkulosemasken oder larvierte tuberkulosen. Je nach betroffenem organ verursacht die primäre tuberkulose weitere symptome. Klinisches wörterbuch von otto dornblüth. Zur diagnose wird ein lungenröntgen angefertigt. Hustenreiz, bluthusten und luftnot sind typische symptome einer lungentuberkulose.

Tuberkulose

Tuberkulose Ihre Apotheke Informiert Uber Schwindsucht. Die tuberkulose betrifft in 80 % der fälle die lunge, kann aber auch andere organe befallen. Hustenreiz, bluthusten und luftnot sind typische symptome einer lungentuberkulose. (1924) die beginnende lungentuberkulose, die sich unter anderen krankheitsbildern verbirgt — tuberkulosemasken oder larvierte tuberkulosen. Die durch tröpfcheninfektion verursachte krankheit verdankt ihren namen den kleinen knötchen, bei denen es sich um vom immunsystem eingeschlossene entzündungsherde handelt. Die lunge ist am häufigsten von tuberkulose betroffen. Tuberculosis wird über die atemwege in form einer sogenannten. Kurzfassung symptome einer lungentuberkulose sind husten, gewichtsverlust, fieber und nachtschweiß. Zur diagnose wird ein lungenröntgen angefertigt. Je nach betroffenem organ verursacht die primäre tuberkulose weitere symptome. Definition und bedeutung im historischen lexikon der medizinischen begriffe. Wenn menschen an einer tuberkulose erkrankt sind, dann wurde diese durch die infektion mit dem. Typische symptome sind husten, oft mit auswurf, fieber und. Das eindringen der tuberkulosebakterien über die atemwege verursacht in der lunge eine für diese krankheit typische reaktion. Die tuberkulose ist eine weltweit verbreitete bakterielle infektionskrankheit. Klinisches wörterbuch von otto dornblüth.

Tuberkulose Was Bei Kindern Anders Ist Springerlink

Tuberkulose. Hustenreiz, bluthusten und luftnot sind typische symptome einer lungentuberkulose. Die lunge ist am häufigsten von tuberkulose betroffen. Je nach betroffenem organ verursacht die primäre tuberkulose weitere symptome. (1924) die beginnende lungentuberkulose, die sich unter anderen krankheitsbildern verbirgt — tuberkulosemasken oder larvierte tuberkulosen. Das eindringen der tuberkulosebakterien über die atemwege verursacht in der lunge eine für diese krankheit typische reaktion. Zur diagnose wird ein lungenröntgen angefertigt. Typische symptome sind husten, oft mit auswurf, fieber und. Wenn menschen an einer tuberkulose erkrankt sind, dann wurde diese durch die infektion mit dem. Tuberculosis wird über die atemwege in form einer sogenannten. Kurzfassung symptome einer lungentuberkulose sind husten, gewichtsverlust, fieber und nachtschweiß. Die tuberkulose betrifft in 80 % der fälle die lunge, kann aber auch andere organe befallen. Die tuberkulose ist eine weltweit verbreitete bakterielle infektionskrankheit. Klinisches wörterbuch von otto dornblüth. Die durch tröpfcheninfektion verursachte krankheit verdankt ihren namen den kleinen knötchen, bei denen es sich um vom immunsystem eingeschlossene entzündungsherde handelt. Definition und bedeutung im historischen lexikon der medizinischen begriffe.

Tuberkulose Tbc Ansteckung Symptome Therapie Netdoktor

Http Www Diavita De Krankheitsbild. Definition und bedeutung im historischen lexikon der medizinischen begriffe. Die durch tröpfcheninfektion verursachte krankheit verdankt ihren namen den kleinen knötchen, bei denen es sich um vom immunsystem eingeschlossene entzündungsherde handelt. Kurzfassung symptome einer lungentuberkulose sind husten, gewichtsverlust, fieber und nachtschweiß. Die tuberkulose betrifft in 80 % der fälle die lunge, kann aber auch andere organe befallen. Das eindringen der tuberkulosebakterien über die atemwege verursacht in der lunge eine für diese krankheit typische reaktion. Die lunge ist am häufigsten von tuberkulose betroffen. Hustenreiz, bluthusten und luftnot sind typische symptome einer lungentuberkulose. Tuberculosis wird über die atemwege in form einer sogenannten. Wenn menschen an einer tuberkulose erkrankt sind, dann wurde diese durch die infektion mit dem. Klinisches wörterbuch von otto dornblüth. (1924) die beginnende lungentuberkulose, die sich unter anderen krankheitsbildern verbirgt — tuberkulosemasken oder larvierte tuberkulosen. Je nach betroffenem organ verursacht die primäre tuberkulose weitere symptome. Zur diagnose wird ein lungenröntgen angefertigt. Typische symptome sind husten, oft mit auswurf, fieber und. Die tuberkulose ist eine weltweit verbreitete bakterielle infektionskrankheit.