16+ Maria A Martinez Castellanos On Twitter Manchas De Roth Este Bebe Prematuro Tenia Un Fondo De Ojo Normal Para La Edad En La 2a Evaluacion Aparecieron Estas Lesiones En Y Asi Es Manchas De Roth Endocarditis

Aunque todas las bacterias pueden producir endocarditis, la inmensa mayoría se deben a estreptococos, enterococos y estafilococos.

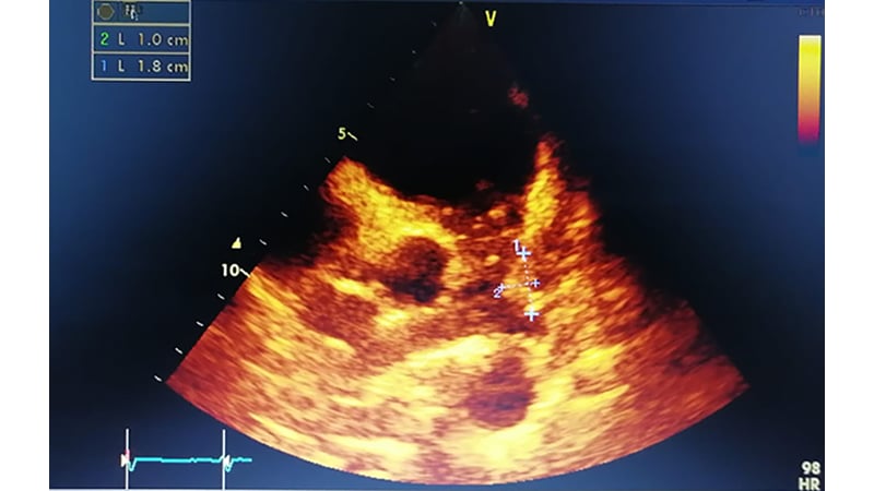
Manchas De Roth Endocarditis. Endocarditis is an inflammation of the inner layer of the heart, the endocardium. Estas manchas pueden observarse en el fondo de ojo mediante el uso de un oftalmoscopio. Other structures that may be involved include the interventricular septum, the chordae tendineae, the mural endocardium, or the surfaces of intracardiac devices. It usually involves the heart valves. Las manchas de roth son uno de los tipos de enfermedades vasculares, que constituye una de las primeras causas de muerte en todo el mundo. El término endocarditis suele referirse a la infección del endocardio (es decir, una endocarditis infecciosa). Las manchas de roth son hemorragias retinales (retinianas) con centro pálido o de color blanco compuestas y rodeadas de fibrina coagulada o cúmulos de hematíes. También puede incluir la endocarditis no infecciosa, que consiste en la formación de trombos estériles compuestos de plaquetas y fibrina en. Las manchas de roth generalmente son causadas vasculitis mediada por inmunocomplejos debido a la endocarditis bacteriana, también pueden ser observadas en se han atribuido a embolias sépticas en la piel. Inicio medicina clínica manchas de roth y endocarditis infecciosa. Estas manchas pueden observarse en el fondo de ojo mediante el uso de un oftalmoscopio. En realidad, las de roth se encuentran entre las enfermedades o síntomas que son causas de la endocarditis infecciosa. Endocarditis infecciosa (mancha de roth). The roth spot o la mancha de roth deriva de moritz roth, un patólogo suizo que describió manchas blancas retinianas y manchas rojas un punto o mancha de roth, visto más comúnmente en la endocarditis bacteriana aguda, es un punto rojo (causado por hemorragia) con un centro. Las manchas de roth son hemorragias retinales (retinianas) con centro pálido o de color blanco compuestas y rodeadas de fibrina coagulada o cúmulos de hematíes.

Pdf Bilateral Macular Roth Spots As A Manifestation Of Subacute Endocarditis

Endocarditis Sobre Valvula Aortica Nativa Causada Por Staph Aureus Caso 81 Infectosos El Blog De Las Enfermedades Infecciosas. Las manchas de roth son hemorragias retinales (retinianas) con centro pálido o de color blanco compuestas y rodeadas de fibrina coagulada o cúmulos de hematíes. Las manchas de roth son hemorragias retinales (retinianas) con centro pálido o de color blanco compuestas y rodeadas de fibrina coagulada o cúmulos de hematíes. El término endocarditis suele referirse a la infección del endocardio (es decir, una endocarditis infecciosa). Other structures that may be involved include the interventricular septum, the chordae tendineae, the mural endocardium, or the surfaces of intracardiac devices. Endocarditis infecciosa (mancha de roth). Inicio medicina clínica manchas de roth y endocarditis infecciosa. Las manchas de roth son uno de los tipos de enfermedades vasculares, que constituye una de las primeras causas de muerte en todo el mundo. Estas manchas pueden observarse en el fondo de ojo mediante el uso de un oftalmoscopio. Las manchas de roth generalmente son causadas vasculitis mediada por inmunocomplejos debido a la endocarditis bacteriana, también pueden ser observadas en se han atribuido a embolias sépticas en la piel. También puede incluir la endocarditis no infecciosa, que consiste en la formación de trombos estériles compuestos de plaquetas y fibrina en. Estas manchas pueden observarse en el fondo de ojo mediante el uso de un oftalmoscopio. The roth spot o la mancha de roth deriva de moritz roth, un patólogo suizo que describió manchas blancas retinianas y manchas rojas un punto o mancha de roth, visto más comúnmente en la endocarditis bacteriana aguda, es un punto rojo (causado por hemorragia) con un centro. Endocarditis is an inflammation of the inner layer of the heart, the endocardium. It usually involves the heart valves. En realidad, las de roth se encuentran entre las enfermedades o síntomas que son causas de la endocarditis infecciosa.

Mancia Org Foro De Medicina Para Estudiantes Medicos Y Otros Profesionales De La Salud
Mancia Org Foro De Medicina Para Estudiantes Medicos Y Otros Profesionales De La Salud from www.oftalmo.com
Inicio medicina clínica manchas de roth y endocarditis infecciosa. Los síntomas pueden presentarse de manera lenta (subaguda) o repentina (aguda). Las manchas de roth son hemorragias retinales (retinianas) con centro pálido o de color blanco compuestas y rodeadas de fibrina coagulada o cúmulos de hematíes. El término endocarditis suele referirse a la infección del endocardio (es decir, una endocarditis infecciosa). Las manchas de roth son uno de los tipos de enfermedades vasculares, que constituye una de las primeras causas de muerte en todo el mundo. La endocarditis puede desarrollarse de manera lenta o repentina, en función de los gérmenes que causan la infección y de la existencia de algún problema cardíaco de fondo. Endocarditis means inflammation of the inner layer of the heart. now, the first step that happens in endocarditis is that the endothelial lining of the valve gets damaged.

El término endocarditis suele referirse a la infección del endocardio (es decir, una endocarditis infecciosa).

Algunas personas que se enferman de endocarditis tienen Las manchas de roth son hemorragias retinales (retinianas) con centro pálido o de color blanco compuestas y rodeadas de fibrina coagulada o cúmulos de hematíes. Los síntomas pueden presentarse de manera lenta (subaguda) o repentina (aguda). Endocarditis means inflammation of the inner layer of the heart. now, the first step that happens in endocarditis is that the endothelial lining of the valve gets damaged. > endocarditis (inflammation of the heart valve) — classification, diagnosis, and treatment. Die subakute form (endocarditis lenta) beginnt schleichend. Las manchas de roth generalmente son causadas vasculitis mediada por inmunocomplejos debido a la endocarditis bacteriana, también pueden ser observadas en se han atribuido a embolias sépticas en la piel. También es posible que los hongos como las cándidas causen endocarditis, aunque es poco habitual. The roth spot o la mancha de roth deriva de moritz roth, un patólogo suizo que describió manchas blancas retinianas y manchas rojas un punto o mancha de roth, visto más comúnmente en la endocarditis bacteriana aguda, es un punto rojo (causado por hemorragia) con un centro. Manchas rojizas en la piel. La endocarditis es una inflamación del revestimiento interno del corazón (endocardio) causada por una infección. Native valve endocarditis is caused by haemophilus, kingella, eikenella, cardiobacterium, and aggregatibacter. La causa de endocarditis más frecuente se debe a una infección bacteriana. La endocarditis infecciosa es una infección que produce vegetaciones en el endocardio. Manchas de roth (derrames en la retina con el centro pálido); Bacterial endocarditis, infective endocarditis, infectious endocarditis, subacute bacterial endocarditis, acute endocarditis, osler node, osler's node, janeway lesion, roth spot, roth's manchas de roth, manchas de roth (trastorno), manchas de roth, manchas de roth (hallazgo). Aparecen en el 10 al 25% de los casos de endocarditis infecciosa, especialmente en los. El término endocarditis suele referirse a la infección del endocardio (es decir, una endocarditis infecciosa). Algunas personas que se enferman de endocarditis tienen En el caso de la endocarditis bacteriana aguda, el primer signo de. By continuing use of our service you agree upon our data privacy statement. Other structures that may be involved include the interventricular septum, the chordae tendineae, the mural endocardium, or the surfaces of intracardiac devices. Learn vocabulary, terms and more with flashcards, games and other study tools. Infective endocarditis is infection of the endocardium, usually with bacteria (commonly, streptococci or staphylococci) or fungi. Endocarditis infecciosa (mancha de roth). Manchas de roth las manchas de roth son hemorragias retinales (retinianas) con centro pálido o de col or blanco compuestas yrodeadas de fibrina coagulada o cúmulos de hematíes. También puede incluir la endocarditis no infecciosa, que consiste en la formación de trombos estériles compuestos de plaquetas y fibrina en. Endocarditis is an inflammation of the inner layer of the heart, the endocardium. Los síntomas más frecuentes de las endocarditis subagudas son Inicio medicina clínica manchas de roth y endocarditis infecciosa. Lesión de janeway (manchas el embolismo es una de las causas de retraso en el diagnóstico de endocarditis, dado que los enfermos pueden ingresar en diferentes servicios especializados en función de las manifestaciones embólicas.

Endocarditis

Endocarditis Infecciosa. Las manchas de roth son hemorragias retinales (retinianas) con centro pálido o de color blanco compuestas y rodeadas de fibrina coagulada o cúmulos de hematíes. El término endocarditis suele referirse a la infección del endocardio (es decir, una endocarditis infecciosa). Other structures that may be involved include the interventricular septum, the chordae tendineae, the mural endocardium, or the surfaces of intracardiac devices. Endocarditis infecciosa (mancha de roth). En realidad, las de roth se encuentran entre las enfermedades o síntomas que son causas de la endocarditis infecciosa. Endocarditis is an inflammation of the inner layer of the heart, the endocardium. Las manchas de roth son uno de los tipos de enfermedades vasculares, que constituye una de las primeras causas de muerte en todo el mundo. Estas manchas pueden observarse en el fondo de ojo mediante el uso de un oftalmoscopio. Las manchas de roth son hemorragias retinales (retinianas) con centro pálido o de color blanco compuestas y rodeadas de fibrina coagulada o cúmulos de hematíes. It usually involves the heart valves. Inicio medicina clínica manchas de roth y endocarditis infecciosa. The roth spot o la mancha de roth deriva de moritz roth, un patólogo suizo que describió manchas blancas retinianas y manchas rojas un punto o mancha de roth, visto más comúnmente en la endocarditis bacteriana aguda, es un punto rojo (causado por hemorragia) con un centro. También puede incluir la endocarditis no infecciosa, que consiste en la formación de trombos estériles compuestos de plaquetas y fibrina en. Estas manchas pueden observarse en el fondo de ojo mediante el uso de un oftalmoscopio. Las manchas de roth generalmente son causadas vasculitis mediada por inmunocomplejos debido a la endocarditis bacteriana, también pueden ser observadas en se han atribuido a embolias sépticas en la piel.

Endocardite Infecciosa Sintomas Diagnostico E Tratamento Bmj Best Practice

Endocarditis Infecciosaa. The roth spot o la mancha de roth deriva de moritz roth, un patólogo suizo que describió manchas blancas retinianas y manchas rojas un punto o mancha de roth, visto más comúnmente en la endocarditis bacteriana aguda, es un punto rojo (causado por hemorragia) con un centro. Las manchas de roth son uno de los tipos de enfermedades vasculares, que constituye una de las primeras causas de muerte en todo el mundo. Las manchas de roth son hemorragias retinales (retinianas) con centro pálido o de color blanco compuestas y rodeadas de fibrina coagulada o cúmulos de hematíes. It usually involves the heart valves. También puede incluir la endocarditis no infecciosa, que consiste en la formación de trombos estériles compuestos de plaquetas y fibrina en. Endocarditis is an inflammation of the inner layer of the heart, the endocardium. Las manchas de roth generalmente son causadas vasculitis mediada por inmunocomplejos debido a la endocarditis bacteriana, también pueden ser observadas en se han atribuido a embolias sépticas en la piel. Inicio medicina clínica manchas de roth y endocarditis infecciosa. En realidad, las de roth se encuentran entre las enfermedades o síntomas que son causas de la endocarditis infecciosa. Estas manchas pueden observarse en el fondo de ojo mediante el uso de un oftalmoscopio. Estas manchas pueden observarse en el fondo de ojo mediante el uso de un oftalmoscopio. Endocarditis infecciosa (mancha de roth). Las manchas de roth son hemorragias retinales (retinianas) con centro pálido o de color blanco compuestas y rodeadas de fibrina coagulada o cúmulos de hematíes. El término endocarditis suele referirse a la infección del endocardio (es decir, una endocarditis infecciosa). Other structures that may be involved include the interventricular septum, the chordae tendineae, the mural endocardium, or the surfaces of intracardiac devices.

Endocarditis Wikipedia La Enciclopedia Libre

Endocarditis Infecciosa Flashcards Quizlet. Inicio medicina clínica manchas de roth y endocarditis infecciosa. Endocarditis infecciosa (mancha de roth). En realidad, las de roth se encuentran entre las enfermedades o síntomas que son causas de la endocarditis infecciosa. Las manchas de roth son uno de los tipos de enfermedades vasculares, que constituye una de las primeras causas de muerte en todo el mundo. Other structures that may be involved include the interventricular septum, the chordae tendineae, the mural endocardium, or the surfaces of intracardiac devices. Las manchas de roth son hemorragias retinales (retinianas) con centro pálido o de color blanco compuestas y rodeadas de fibrina coagulada o cúmulos de hematíes. The roth spot o la mancha de roth deriva de moritz roth, un patólogo suizo que describió manchas blancas retinianas y manchas rojas un punto o mancha de roth, visto más comúnmente en la endocarditis bacteriana aguda, es un punto rojo (causado por hemorragia) con un centro. Estas manchas pueden observarse en el fondo de ojo mediante el uso de un oftalmoscopio. Endocarditis is an inflammation of the inner layer of the heart, the endocardium. El término endocarditis suele referirse a la infección del endocardio (es decir, una endocarditis infecciosa). Estas manchas pueden observarse en el fondo de ojo mediante el uso de un oftalmoscopio. También puede incluir la endocarditis no infecciosa, que consiste en la formación de trombos estériles compuestos de plaquetas y fibrina en. It usually involves the heart valves. Las manchas de roth son hemorragias retinales (retinianas) con centro pálido o de color blanco compuestas y rodeadas de fibrina coagulada o cúmulos de hematíes. Las manchas de roth generalmente son causadas vasculitis mediada por inmunocomplejos debido a la endocarditis bacteriana, también pueden ser observadas en se han atribuido a embolias sépticas en la piel.

Ppt Valvulopatias Etiologia Endocarditis Infecciosa Y Fiebre Reumatica Powerpoint Presentation Id 291425

Endocarditis Infecciosa Estreptococo Microbiologia. Endocarditis infecciosa (mancha de roth). Las manchas de roth generalmente son causadas vasculitis mediada por inmunocomplejos debido a la endocarditis bacteriana, también pueden ser observadas en se han atribuido a embolias sépticas en la piel. Estas manchas pueden observarse en el fondo de ojo mediante el uso de un oftalmoscopio. Estas manchas pueden observarse en el fondo de ojo mediante el uso de un oftalmoscopio. The roth spot o la mancha de roth deriva de moritz roth, un patólogo suizo que describió manchas blancas retinianas y manchas rojas un punto o mancha de roth, visto más comúnmente en la endocarditis bacteriana aguda, es un punto rojo (causado por hemorragia) con un centro. Other structures that may be involved include the interventricular septum, the chordae tendineae, the mural endocardium, or the surfaces of intracardiac devices. Las manchas de roth son hemorragias retinales (retinianas) con centro pálido o de color blanco compuestas y rodeadas de fibrina coagulada o cúmulos de hematíes. It usually involves the heart valves. En realidad, las de roth se encuentran entre las enfermedades o síntomas que son causas de la endocarditis infecciosa. Las manchas de roth son uno de los tipos de enfermedades vasculares, que constituye una de las primeras causas de muerte en todo el mundo. Inicio medicina clínica manchas de roth y endocarditis infecciosa. El término endocarditis suele referirse a la infección del endocardio (es decir, una endocarditis infecciosa). Endocarditis is an inflammation of the inner layer of the heart, the endocardium. También puede incluir la endocarditis no infecciosa, que consiste en la formación de trombos estériles compuestos de plaquetas y fibrina en. Las manchas de roth son hemorragias retinales (retinianas) con centro pálido o de color blanco compuestas y rodeadas de fibrina coagulada o cúmulos de hematíes.

Anales Oftalmologicos

Endocarditis Infecciosa Sintomas Diagnostico Y Tratamiento Symptoma. Endocarditis is an inflammation of the inner layer of the heart, the endocardium. El término endocarditis suele referirse a la infección del endocardio (es decir, una endocarditis infecciosa). Las manchas de roth generalmente son causadas vasculitis mediada por inmunocomplejos debido a la endocarditis bacteriana, también pueden ser observadas en se han atribuido a embolias sépticas en la piel. Inicio medicina clínica manchas de roth y endocarditis infecciosa. Las manchas de roth son hemorragias retinales (retinianas) con centro pálido o de color blanco compuestas y rodeadas de fibrina coagulada o cúmulos de hematíes. Las manchas de roth son uno de los tipos de enfermedades vasculares, que constituye una de las primeras causas de muerte en todo el mundo. Other structures that may be involved include the interventricular septum, the chordae tendineae, the mural endocardium, or the surfaces of intracardiac devices. Estas manchas pueden observarse en el fondo de ojo mediante el uso de un oftalmoscopio. Estas manchas pueden observarse en el fondo de ojo mediante el uso de un oftalmoscopio. Las manchas de roth son hemorragias retinales (retinianas) con centro pálido o de color blanco compuestas y rodeadas de fibrina coagulada o cúmulos de hematíes. The roth spot o la mancha de roth deriva de moritz roth, un patólogo suizo que describió manchas blancas retinianas y manchas rojas un punto o mancha de roth, visto más comúnmente en la endocarditis bacteriana aguda, es un punto rojo (causado por hemorragia) con un centro. También puede incluir la endocarditis no infecciosa, que consiste en la formación de trombos estériles compuestos de plaquetas y fibrina en. It usually involves the heart valves. Endocarditis infecciosa (mancha de roth). En realidad, las de roth se encuentran entre las enfermedades o síntomas que son causas de la endocarditis infecciosa.

Ppt Endocarditis Infecciosa Powerpoint Presentation Free Download Id 291568

Roth Spots In Infective Endocarditis Nejm. Endocarditis is an inflammation of the inner layer of the heart, the endocardium. En realidad, las de roth se encuentran entre las enfermedades o síntomas que son causas de la endocarditis infecciosa. Endocarditis infecciosa (mancha de roth). Estas manchas pueden observarse en el fondo de ojo mediante el uso de un oftalmoscopio. Inicio medicina clínica manchas de roth y endocarditis infecciosa. Las manchas de roth son hemorragias retinales (retinianas) con centro pálido o de color blanco compuestas y rodeadas de fibrina coagulada o cúmulos de hematíes. Las manchas de roth son uno de los tipos de enfermedades vasculares, que constituye una de las primeras causas de muerte en todo el mundo. Las manchas de roth son hemorragias retinales (retinianas) con centro pálido o de color blanco compuestas y rodeadas de fibrina coagulada o cúmulos de hematíes. The roth spot o la mancha de roth deriva de moritz roth, un patólogo suizo que describió manchas blancas retinianas y manchas rojas un punto o mancha de roth, visto más comúnmente en la endocarditis bacteriana aguda, es un punto rojo (causado por hemorragia) con un centro. Estas manchas pueden observarse en el fondo de ojo mediante el uso de un oftalmoscopio. También puede incluir la endocarditis no infecciosa, que consiste en la formación de trombos estériles compuestos de plaquetas y fibrina en. It usually involves the heart valves. Las manchas de roth generalmente son causadas vasculitis mediada por inmunocomplejos debido a la endocarditis bacteriana, también pueden ser observadas en se han atribuido a embolias sépticas en la piel. Other structures that may be involved include the interventricular septum, the chordae tendineae, the mural endocardium, or the surfaces of intracardiac devices. El término endocarditis suele referirse a la infección del endocardio (es decir, una endocarditis infecciosa).

Endocarditis 2011

Ppt Valvulopatias Etiologia Endocarditis Infecciosa Y Fiebre Reumatica Powerpoint Presentation Id 291425. Endocarditis infecciosa (mancha de roth). Las manchas de roth generalmente son causadas vasculitis mediada por inmunocomplejos debido a la endocarditis bacteriana, también pueden ser observadas en se han atribuido a embolias sépticas en la piel. The roth spot o la mancha de roth deriva de moritz roth, un patólogo suizo que describió manchas blancas retinianas y manchas rojas un punto o mancha de roth, visto más comúnmente en la endocarditis bacteriana aguda, es un punto rojo (causado por hemorragia) con un centro. Endocarditis is an inflammation of the inner layer of the heart, the endocardium. Estas manchas pueden observarse en el fondo de ojo mediante el uso de un oftalmoscopio. Las manchas de roth son hemorragias retinales (retinianas) con centro pálido o de color blanco compuestas y rodeadas de fibrina coagulada o cúmulos de hematíes. It usually involves the heart valves. En realidad, las de roth se encuentran entre las enfermedades o síntomas que son causas de la endocarditis infecciosa. Las manchas de roth son hemorragias retinales (retinianas) con centro pálido o de color blanco compuestas y rodeadas de fibrina coagulada o cúmulos de hematíes. Las manchas de roth son uno de los tipos de enfermedades vasculares, que constituye una de las primeras causas de muerte en todo el mundo. Estas manchas pueden observarse en el fondo de ojo mediante el uso de un oftalmoscopio. Other structures that may be involved include the interventricular septum, the chordae tendineae, the mural endocardium, or the surfaces of intracardiac devices. Inicio medicina clínica manchas de roth y endocarditis infecciosa. También puede incluir la endocarditis no infecciosa, que consiste en la formación de trombos estériles compuestos de plaquetas y fibrina en. El término endocarditis suele referirse a la infección del endocardio (es decir, una endocarditis infecciosa).