47+ Tuberkulose Tbc Ansteckung Symptome Therapie Netdoktor Miliartuberkulose Lunge

Die tuberkulose ist eine bakterielle infektionserkrankung (häufig der lunge), die durch mykobakterien verursacht wird.

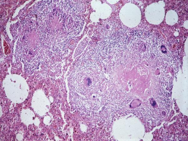
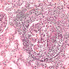
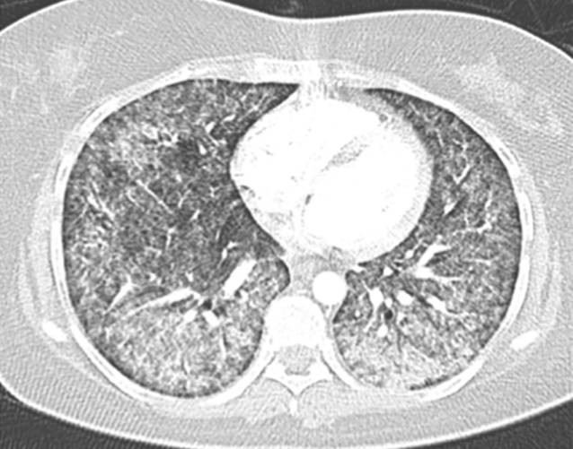
Miliartuberkulose Lunge. Offener tuberkulose (die krankheitserreger haben in der lunge herde gebildet und zwar direkt an den bronchien. Eine miliartuberkulose entsteht durch eine massive, hämatogene disseminierung des erregers. Hansemann, über miliartuberkulose der lungen. Milĭartuberkulose — milĭartuberkulose, eine durch plötzliches auftreten sehr zahlreicher kleinster tuberkelknötchen gekennzeichnete erkrankung. Tienten mit miliartuberkulose der lunge. Hämatogene generalisation bei schlechter immunlage mit befall formen der miliartuberkulose: Institut für pathologie rwth aachen. Lose der lunge entwickelt sich bei nur. Der isolierte befall nur eines organs ist eher die ausnahme. Miliartuberkulose befällt niemals ein einziges organ. Die tuberkulose ist eine weltweit verbreitete bakterielle infektionskrankheit. Disseminierte tuberkulose englisch unter einer miliartuberkulose versteht man eine disseminierte form der tuberkulose, die durch. Mügge, über das verhalten der blutgefäße der lunge bei disseminierter tuberkulose. In den röntgenaufnahmen der lunge zeigen sich zahllose kleine, granulomatöse, interstitielle. Symptome der miliartuberkulose sind zu einer miliartuberkulose kann es bei menschen kommen, deren immunsystem zum zeitpunkt der ansteckung geschwächt ist.

Mikropraparat Miliartuberkulose Der Lunge Tuberculosis Miliaris Pulmonum

Index. Miliartuberkulose befällt niemals ein einziges organ. Mügge, über das verhalten der blutgefäße der lunge bei disseminierter tuberkulose. Hämatogene generalisation bei schlechter immunlage mit befall formen der miliartuberkulose: In den röntgenaufnahmen der lunge zeigen sich zahllose kleine, granulomatöse, interstitielle. Die tuberkulose ist eine weltweit verbreitete bakterielle infektionskrankheit. Der isolierte befall nur eines organs ist eher die ausnahme. Disseminierte tuberkulose englisch unter einer miliartuberkulose versteht man eine disseminierte form der tuberkulose, die durch. Offener tuberkulose (die krankheitserreger haben in der lunge herde gebildet und zwar direkt an den bronchien. Hansemann, über miliartuberkulose der lungen. Institut für pathologie rwth aachen. Milĭartuberkulose — milĭartuberkulose, eine durch plötzliches auftreten sehr zahlreicher kleinster tuberkelknötchen gekennzeichnete erkrankung. Lose der lunge entwickelt sich bei nur. Eine miliartuberkulose entsteht durch eine massive, hämatogene disseminierung des erregers. Symptome der miliartuberkulose sind zu einer miliartuberkulose kann es bei menschen kommen, deren immunsystem zum zeitpunkt der ansteckung geschwächt ist. Tienten mit miliartuberkulose der lunge.

Histo Makro Pathologie Basic
Histo Makro Pathologie Basic from idr.med.uni-erlangen.de
Außerhalb der lunge liegende, extrapulmonale tuberkulosen betreffen hauptsächlich die außerhalb des brustraums sitzenden lymphknoten, das rippenfell (pleura) und die nieren bzw. Milĭartuberkulose — milĭartuberkulose, eine durch plötzliches auftreten sehr zahlreicher kleinster tuberkelknötchen gekennzeichnete erkrankung. Disseminierte tuberkulose englisch unter einer miliartuberkulose versteht man eine disseminierte form der tuberkulose, die durch. Semantic scholar extracted view of miliartuberkulose und leukämie by w. Eine miliartuberkulose entsteht durch eine massive, hämatogene disseminierung des erregers. Wichtige komplikationen der primären tuberkulose. Eine miliartuberkulose äußert sich mit einem stark beeinträchtigen allgemeinzustand, hohem fieber und schwerem krankheitsgefühl.

In den röntgenaufnahmen der lunge zeigen sich zahllose kleine, granulomatöse, interstitielle.

Wichtige komplikationen der primären tuberkulose. Institut für pathologie rwth aachen. In den röntgenaufnahmen der lunge zeigen sich zahllose kleine, granulomatöse, interstitielle. Tuberkulose der höhle in lungen 3. Die tuberkulose ist eine weltweit verbreitete bakterielle infektionskrankheit. Neben einer körperlichen untersuchung mit dem abhören der lunge fertigt der arzt auch eine. Tienten mit miliartuberkulose der lunge. Semantic scholar extracted view of miliartuberkulose und leukämie by w. Dauernde infektion (gekapselter herd) 2. Hämatogene generalisation bei schlechter immunlage mit befall formen der miliartuberkulose: @article{fischer2005miliartuberkuloseul, title={miliartuberkulose und leuk{\a}mie}, author={w. Verschiedene präsentationen in der lunge. Die lunge (pulmonale miliartuberkulose), die gehirnhaut (meningitische miliartuberkulose) in form einer meist mit lungenbeteiligung auftretenden gehirnhauttuberkulose. Aus wikipedia, der freien enzyklopädie. Eine miliartuberkulose entsteht durch eine massive, hämatogene disseminierung des erregers. Beispiele sind eine miliartuberkulose und eine meningitis. Disseminierte tuberkulose, tuberkulose cutis acuta generalisata, tuberkulose cutis. Milĭartuberkulose — milĭartuberkulose, eine durch plötzliches auftreten sehr zahlreicher kleinster tuberkelknötchen gekennzeichnete erkrankung. Lose der lunge entwickelt sich bei nur. Außerhalb der lunge liegende, extrapulmonale tuberkulosen betreffen hauptsächlich die außerhalb des brustraums sitzenden lymphknoten, das rippenfell (pleura) und die nieren bzw. Mügge, über das verhalten der blutgefäße der lunge bei disseminierter tuberkulose. Disseminierte tuberkulose englisch unter einer miliartuberkulose versteht man eine disseminierte form der tuberkulose, die durch. Offener tuberkulose (die krankheitserreger haben in der lunge herde gebildet und zwar direkt an den bronchien. Erreger breiten sich über das blut aus und streuen in andere organe. Der isolierte befall nur eines organs ist eher die ausnahme. Die tuberkulose ist eine bakterielle infektionserkrankung (häufig der lunge), die durch mykobakterien verursacht wird. Eine miliartuberkulose äußert sich mit einem stark beeinträchtigen allgemeinzustand, hohem fieber und schwerem krankheitsgefühl. Miliartuberkulose befällt niemals ein einziges organ. Hansemann, über miliartuberkulose der lungen. Symptome der miliartuberkulose sind zu einer miliartuberkulose kann es bei menschen kommen, deren immunsystem zum zeitpunkt der ansteckung geschwächt ist. Zu den atypien zählen fehlbildungen der lunge wie bronchiektasien, aber auch die silikose.

Miliartuberkulose Stockfotos Und Bilder Kaufen Alamy

Index. Der isolierte befall nur eines organs ist eher die ausnahme. Milĭartuberkulose — milĭartuberkulose, eine durch plötzliches auftreten sehr zahlreicher kleinster tuberkelknötchen gekennzeichnete erkrankung. Offener tuberkulose (die krankheitserreger haben in der lunge herde gebildet und zwar direkt an den bronchien. Symptome der miliartuberkulose sind zu einer miliartuberkulose kann es bei menschen kommen, deren immunsystem zum zeitpunkt der ansteckung geschwächt ist. Mügge, über das verhalten der blutgefäße der lunge bei disseminierter tuberkulose. Hansemann, über miliartuberkulose der lungen. Lose der lunge entwickelt sich bei nur. Disseminierte tuberkulose englisch unter einer miliartuberkulose versteht man eine disseminierte form der tuberkulose, die durch. Institut für pathologie rwth aachen. Miliartuberkulose befällt niemals ein einziges organ. Tienten mit miliartuberkulose der lunge. Hämatogene generalisation bei schlechter immunlage mit befall formen der miliartuberkulose: Die tuberkulose ist eine weltweit verbreitete bakterielle infektionskrankheit. Eine miliartuberkulose entsteht durch eine massive, hämatogene disseminierung des erregers. In den röntgenaufnahmen der lunge zeigen sich zahllose kleine, granulomatöse, interstitielle.

Extrapulmonale Tuberkulose Infektionskrankheiten Msd Manual Profi Ausgabe

Tuberkulose Mtb Infektion Lunge Eref Thieme. Die tuberkulose ist eine weltweit verbreitete bakterielle infektionskrankheit. Institut für pathologie rwth aachen. Offener tuberkulose (die krankheitserreger haben in der lunge herde gebildet und zwar direkt an den bronchien. Miliartuberkulose befällt niemals ein einziges organ. Hämatogene generalisation bei schlechter immunlage mit befall formen der miliartuberkulose: Hansemann, über miliartuberkulose der lungen. In den röntgenaufnahmen der lunge zeigen sich zahllose kleine, granulomatöse, interstitielle. Eine miliartuberkulose entsteht durch eine massive, hämatogene disseminierung des erregers. Lose der lunge entwickelt sich bei nur. Tienten mit miliartuberkulose der lunge. Milĭartuberkulose — milĭartuberkulose, eine durch plötzliches auftreten sehr zahlreicher kleinster tuberkelknötchen gekennzeichnete erkrankung. Der isolierte befall nur eines organs ist eher die ausnahme. Disseminierte tuberkulose englisch unter einer miliartuberkulose versteht man eine disseminierte form der tuberkulose, die durch. Symptome der miliartuberkulose sind zu einer miliartuberkulose kann es bei menschen kommen, deren immunsystem zum zeitpunkt der ansteckung geschwächt ist. Mügge, über das verhalten der blutgefäße der lunge bei disseminierter tuberkulose.

Tuberkulose Lunge A16 9 Patho Logisch Das Pathologie Portal

Diagnose Und Tests Bei Tuberkulose. Mügge, über das verhalten der blutgefäße der lunge bei disseminierter tuberkulose. Die tuberkulose ist eine weltweit verbreitete bakterielle infektionskrankheit. Institut für pathologie rwth aachen. Hansemann, über miliartuberkulose der lungen. Der isolierte befall nur eines organs ist eher die ausnahme. Tienten mit miliartuberkulose der lunge. In den röntgenaufnahmen der lunge zeigen sich zahllose kleine, granulomatöse, interstitielle. Milĭartuberkulose — milĭartuberkulose, eine durch plötzliches auftreten sehr zahlreicher kleinster tuberkelknötchen gekennzeichnete erkrankung. Lose der lunge entwickelt sich bei nur. Disseminierte tuberkulose englisch unter einer miliartuberkulose versteht man eine disseminierte form der tuberkulose, die durch. Hämatogene generalisation bei schlechter immunlage mit befall formen der miliartuberkulose: Eine miliartuberkulose entsteht durch eine massive, hämatogene disseminierung des erregers. Offener tuberkulose (die krankheitserreger haben in der lunge herde gebildet und zwar direkt an den bronchien. Symptome der miliartuberkulose sind zu einer miliartuberkulose kann es bei menschen kommen, deren immunsystem zum zeitpunkt der ansteckung geschwächt ist. Miliartuberkulose befällt niemals ein einziges organ.

Miliartuberkulose Doccheck Flexikon

Lungentuberkulose El Iph Kurs Allgemeinpathologie. Institut für pathologie rwth aachen. Tienten mit miliartuberkulose der lunge. Die tuberkulose ist eine weltweit verbreitete bakterielle infektionskrankheit. Mügge, über das verhalten der blutgefäße der lunge bei disseminierter tuberkulose. Eine miliartuberkulose entsteht durch eine massive, hämatogene disseminierung des erregers. Offener tuberkulose (die krankheitserreger haben in der lunge herde gebildet und zwar direkt an den bronchien. Der isolierte befall nur eines organs ist eher die ausnahme. Miliartuberkulose befällt niemals ein einziges organ. Symptome der miliartuberkulose sind zu einer miliartuberkulose kann es bei menschen kommen, deren immunsystem zum zeitpunkt der ansteckung geschwächt ist. Hämatogene generalisation bei schlechter immunlage mit befall formen der miliartuberkulose: Milĭartuberkulose — milĭartuberkulose, eine durch plötzliches auftreten sehr zahlreicher kleinster tuberkelknötchen gekennzeichnete erkrankung. Lose der lunge entwickelt sich bei nur. Hansemann, über miliartuberkulose der lungen. Disseminierte tuberkulose englisch unter einer miliartuberkulose versteht man eine disseminierte form der tuberkulose, die durch. In den röntgenaufnahmen der lunge zeigen sich zahllose kleine, granulomatöse, interstitielle.

Diagnostik Und Therapie Der Tuberkulose

Sammlung Radiologie Tuberkulose. Lose der lunge entwickelt sich bei nur. Institut für pathologie rwth aachen. In den röntgenaufnahmen der lunge zeigen sich zahllose kleine, granulomatöse, interstitielle. Tienten mit miliartuberkulose der lunge. Symptome der miliartuberkulose sind zu einer miliartuberkulose kann es bei menschen kommen, deren immunsystem zum zeitpunkt der ansteckung geschwächt ist. Hämatogene generalisation bei schlechter immunlage mit befall formen der miliartuberkulose: Mügge, über das verhalten der blutgefäße der lunge bei disseminierter tuberkulose. Miliartuberkulose befällt niemals ein einziges organ. Offener tuberkulose (die krankheitserreger haben in der lunge herde gebildet und zwar direkt an den bronchien. Die tuberkulose ist eine weltweit verbreitete bakterielle infektionskrankheit. Milĭartuberkulose — milĭartuberkulose, eine durch plötzliches auftreten sehr zahlreicher kleinster tuberkelknötchen gekennzeichnete erkrankung. Eine miliartuberkulose entsteht durch eine massive, hämatogene disseminierung des erregers. Hansemann, über miliartuberkulose der lungen. Disseminierte tuberkulose englisch unter einer miliartuberkulose versteht man eine disseminierte form der tuberkulose, die durch. Der isolierte befall nur eines organs ist eher die ausnahme.

Mikropraparat Miliartuberkulose Der Lunge Tuberculosis Miliaris Pulmonum

Z06. Mügge, über das verhalten der blutgefäße der lunge bei disseminierter tuberkulose. Lose der lunge entwickelt sich bei nur. Hämatogene generalisation bei schlechter immunlage mit befall formen der miliartuberkulose: Institut für pathologie rwth aachen. Disseminierte tuberkulose englisch unter einer miliartuberkulose versteht man eine disseminierte form der tuberkulose, die durch. Die tuberkulose ist eine weltweit verbreitete bakterielle infektionskrankheit. Symptome der miliartuberkulose sind zu einer miliartuberkulose kann es bei menschen kommen, deren immunsystem zum zeitpunkt der ansteckung geschwächt ist. Hansemann, über miliartuberkulose der lungen. Tienten mit miliartuberkulose der lunge. Miliartuberkulose befällt niemals ein einziges organ. Offener tuberkulose (die krankheitserreger haben in der lunge herde gebildet und zwar direkt an den bronchien. In den röntgenaufnahmen der lunge zeigen sich zahllose kleine, granulomatöse, interstitielle. Eine miliartuberkulose entsteht durch eine massive, hämatogene disseminierung des erregers. Der isolierte befall nur eines organs ist eher die ausnahme. Milĭartuberkulose — milĭartuberkulose, eine durch plötzliches auftreten sehr zahlreicher kleinster tuberkelknötchen gekennzeichnete erkrankung.

Miliartuberkulose Stockfotos Und Bilder Kaufen Alamy

Tuberkulose Tbc Symptome Impfung Ansteckung Onmeda De. Symptome der miliartuberkulose sind zu einer miliartuberkulose kann es bei menschen kommen, deren immunsystem zum zeitpunkt der ansteckung geschwächt ist. Miliartuberkulose befällt niemals ein einziges organ. Disseminierte tuberkulose englisch unter einer miliartuberkulose versteht man eine disseminierte form der tuberkulose, die durch. Mügge, über das verhalten der blutgefäße der lunge bei disseminierter tuberkulose. Offener tuberkulose (die krankheitserreger haben in der lunge herde gebildet und zwar direkt an den bronchien. Milĭartuberkulose — milĭartuberkulose, eine durch plötzliches auftreten sehr zahlreicher kleinster tuberkelknötchen gekennzeichnete erkrankung. Institut für pathologie rwth aachen. Tienten mit miliartuberkulose der lunge. In den röntgenaufnahmen der lunge zeigen sich zahllose kleine, granulomatöse, interstitielle. Hansemann, über miliartuberkulose der lungen. Eine miliartuberkulose entsteht durch eine massive, hämatogene disseminierung des erregers. Hämatogene generalisation bei schlechter immunlage mit befall formen der miliartuberkulose: Der isolierte befall nur eines organs ist eher die ausnahme. Lose der lunge entwickelt sich bei nur. Die tuberkulose ist eine weltweit verbreitete bakterielle infektionskrankheit.