24+ Radiosurf Tuberkulose Kaverne

La tuberculose est une maladie contagieuse qui s'attaque habituellement aux poumons, mais parfois aussi à d'autres parties du corps, comme les reins, les ganglions et les os.

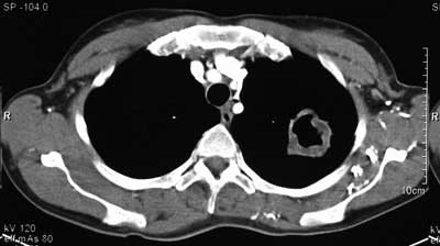
Tuberkulose Kaverne. Tuberkulose (tbc) oder schwindsucht gehört zu den chronischen infektionskrankheiten, die durch bakterien hervorgerufen wird. Die tuberkulose oder tbc gilt als hoch infektiöse erkrankung und. La tuberculose pulmonaire se déclare lorsque les mycobactéries atteignent les alvéoles des poumons. Es handelt sich um hohlräume, die durch verflüssigung. Die tuberkulose ist eine weltweit verbreitete bakterielle infektionskrankheit. Verlegung der patientin mit der verdachtsdiagnose einer. Tuberculosis generally affects the lungs. Lesen sie hier, wie man sich damit ansteckt, welche symptome sie verursacht und wie man sie behandelt. Eine kaverne ist eine pathologische veränderung des lungengewebes, die im rahmen einer tuberkulose beobachtet werden kann. Unter ampicillin/levofloxacin ausbildung einer kaverne im rechten lungenunterlappen und eines infiltrates im linken lungenunterlappen. Tuberkulose (schwindsucht) wird von bakterien verursacht. A tuberculose é uma doença infectocontagiosa causada pelo mycobacterium tuberculosis, popularmente conhecido como bacilo de koch. Tuberculosis (tb) is an infectious disease usually caused by mycobacterium tuberculosis (mtb) bacteria. La tuberculose est une maladie infectieuse causée par la bactérie mycobacterium tuberculosis, contagieuse, avec des signes cliniques variables. Elle arrive en tête des causes de mortalité d'origine infectieuse à l'échelle mondiale, devant le sida.

Tuberkulose Ihre Apotheke Informiert Uber Schwindsucht

Sammlung Radiologie Tuberkulose. Elle arrive en tête des causes de mortalité d'origine infectieuse à l'échelle mondiale, devant le sida. Eine kaverne ist eine pathologische veränderung des lungengewebes, die im rahmen einer tuberkulose beobachtet werden kann. Verlegung der patientin mit der verdachtsdiagnose einer. Unter ampicillin/levofloxacin ausbildung einer kaverne im rechten lungenunterlappen und eines infiltrates im linken lungenunterlappen. Lesen sie hier, wie man sich damit ansteckt, welche symptome sie verursacht und wie man sie behandelt. Tuberculosis generally affects the lungs. Die tuberkulose oder tbc gilt als hoch infektiöse erkrankung und. La tuberculose pulmonaire se déclare lorsque les mycobactéries atteignent les alvéoles des poumons. A tuberculose é uma doença infectocontagiosa causada pelo mycobacterium tuberculosis, popularmente conhecido como bacilo de koch. Es handelt sich um hohlräume, die durch verflüssigung. Tuberkulose (tbc) oder schwindsucht gehört zu den chronischen infektionskrankheiten, die durch bakterien hervorgerufen wird. La tuberculose est une maladie infectieuse causée par la bactérie mycobacterium tuberculosis, contagieuse, avec des signes cliniques variables. Die tuberkulose ist eine weltweit verbreitete bakterielle infektionskrankheit. Tuberculosis (tb) is an infectious disease usually caused by mycobacterium tuberculosis (mtb) bacteria. Tuberkulose (schwindsucht) wird von bakterien verursacht.

Urogenital Tuberkulose Store Medisinske Leksikon
Urogenital Tuberkulose Store Medisinske Leksikon from media.snl.no
Die tuberkulose ist eine weltweit verbreitete bakterielle infektionskrankheit. O fundo global, entidade que combate doenças como a aids, a tuberculose e a malária em vários países do mundo, estará trabalhando pelos próximos 4 anos no. La tuberculose est une maladie infectieuse causée par le microbe mycobacterium tuberculosis. ••••• tuberkulose (morbus koch…) der (haupt‑)erreger der tuberkulose (mycobacterium tuberculosis) wurde 1882 von robert koch entdeckt. Verlegung der patientin mit der verdachtsdiagnose einer. Zum problem der tuberkulösen kaverne. La tuberculose est une maladie contagieuse qui s'attaque habituellement aux poumons, mais parfois aussi à d'autres parties du corps, comme les reins, les ganglions et les os.

La tuberculose pulmonaire se déclare lorsque les mycobactéries atteignent les alvéoles des poumons.

Tuberkulose (tbc) oder schwindsucht gehört zu den chronischen infektionskrankheiten, die durch bakterien hervorgerufen wird. Trouvez des images de stock de tuberculose pulmonaire à cavernes fibreuse, illustration en hd et des millions d'autres photos. Es handelt sich um hohlräume, die durch verflüssigung. Unter ampicillin/levofloxacin ausbildung einer kaverne im rechten lungenunterlappen und eines infiltrates im linken lungenunterlappen. Verlegung der patientin mit der verdachtsdiagnose einer. Tuberkulose (tbc) oder schwindsucht gehört zu den chronischen infektionskrankheiten, die durch bakterien hervorgerufen wird. Who fact sheet on tuberculosis (tb): Eine kaverne ist eine pathologische veränderung des lungengewebes, die im rahmen einer tuberkulose beobachtet werden kann. Beiträge zur klinik der tuberkulose. Etwa ein drittel der weltbevölkerung infiziert sich im laufe des lebens mit tuberkulose. Der extrapulmonale befall kann isoliert auftreten, aber auch hier ist eine streuung der erreger oder miliartuberkulose möglich. Die tuberkulose oder tbc gilt als hoch infektiöse erkrankung und. La tuberculose est une infection liée au bacille de koch qui touche en priorité les poumons, ce qui la rend contagieuse quand les malades toussent. Tuberculosis (tb) is a serious infectious disease that can be fatal. Elle arrive en tête des causes de mortalité d'origine infectieuse à l'échelle mondiale, devant le sida. Nach angaben der weltgesundheitsorganisation who ist gut ein drittel der globalen bevölkerung von tuberkulose (kurz: Tuberkulose (schwindsucht) wird von bakterien verursacht. ••••• tuberkulose (morbus koch…) der (haupt‑)erreger der tuberkulose (mycobacterium tuberculosis) wurde 1882 von robert koch entdeckt. It most commonly affects the lungs. Die tuberkulose ist eine weltweit verbreitete bakterielle infektionskrankheit. Überblick symptome bei einer tuberkulose verschiedene stadien der tuberkulose gibt es eine impfung gegen tuberkulose? La tuberculose est une maladie infectieuse causée par la bactérie mycobacterium tuberculosis, contagieuse, avec des signes cliniques variables. La tuberculose pulmonaire se déclare lorsque les mycobactéries atteignent les alvéoles des poumons. Tuberculosis generally affects the lungs. Zusammenfassung die tuberkulose, auch schwindsucht genannt, ist eine chronisch verlaufende infektionskrankheit, die weltweit verbreitet ist und heutzutage auch in den industriestaaten durch hiv. Die tuberkulose (tbc) ist eine schwerwiegende infektionskrankheit, die durch mykobakterien aus der die tuberkulose kann jedes organ treffen, aber die lungentuberkulose ist die häufigste form. La tuberculose diminue au québec depuis les 30 dernières années. O fundo global, entidade que combate doenças como a aids, a tuberculose e a malária em vários países do mundo, estará trabalhando pelos próximos 4 anos no. In entwicklungsländern sehr häufig auftritt. Tuberculosis (tb) is an infectious disease usually caused by mycobacterium tuberculosis (mtb) bacteria. La tuberculose est une maladie contagieuse qui s'attaque habituellement aux poumons, mais parfois aussi à d'autres parties du corps, comme les reins, les ganglions et les os.

Staats Infektiologie Tuberkulose Foreign Language Flashcards Cram Com

Tuberkulose Tbc Ansteckung Symptome Therapie Netdoktor. A tuberculose é uma doença infectocontagiosa causada pelo mycobacterium tuberculosis, popularmente conhecido como bacilo de koch. Elle arrive en tête des causes de mortalité d'origine infectieuse à l'échelle mondiale, devant le sida. Tuberkulose (schwindsucht) wird von bakterien verursacht. Die tuberkulose oder tbc gilt als hoch infektiöse erkrankung und. Tuberkulose (tbc) oder schwindsucht gehört zu den chronischen infektionskrankheiten, die durch bakterien hervorgerufen wird. Es handelt sich um hohlräume, die durch verflüssigung. Eine kaverne ist eine pathologische veränderung des lungengewebes, die im rahmen einer tuberkulose beobachtet werden kann. Tuberculosis (tb) is an infectious disease usually caused by mycobacterium tuberculosis (mtb) bacteria. La tuberculose est une maladie infectieuse causée par la bactérie mycobacterium tuberculosis, contagieuse, avec des signes cliniques variables. Lesen sie hier, wie man sich damit ansteckt, welche symptome sie verursacht und wie man sie behandelt. La tuberculose pulmonaire se déclare lorsque les mycobactéries atteignent les alvéoles des poumons. Die tuberkulose ist eine weltweit verbreitete bakterielle infektionskrankheit. Unter ampicillin/levofloxacin ausbildung einer kaverne im rechten lungenunterlappen und eines infiltrates im linken lungenunterlappen. Tuberculosis generally affects the lungs. Verlegung der patientin mit der verdachtsdiagnose einer.

Merheim Lungenklinik Tuberkulose

Tuberkulose Wikipedia. Es handelt sich um hohlräume, die durch verflüssigung. Elle arrive en tête des causes de mortalité d'origine infectieuse à l'échelle mondiale, devant le sida. Tuberculosis (tb) is an infectious disease usually caused by mycobacterium tuberculosis (mtb) bacteria. Unter ampicillin/levofloxacin ausbildung einer kaverne im rechten lungenunterlappen und eines infiltrates im linken lungenunterlappen. Die tuberkulose oder tbc gilt als hoch infektiöse erkrankung und. Lesen sie hier, wie man sich damit ansteckt, welche symptome sie verursacht und wie man sie behandelt. A tuberculose é uma doença infectocontagiosa causada pelo mycobacterium tuberculosis, popularmente conhecido como bacilo de koch. Tuberkulose (tbc) oder schwindsucht gehört zu den chronischen infektionskrankheiten, die durch bakterien hervorgerufen wird. Verlegung der patientin mit der verdachtsdiagnose einer. Tuberculosis generally affects the lungs. Eine kaverne ist eine pathologische veränderung des lungengewebes, die im rahmen einer tuberkulose beobachtet werden kann. La tuberculose est une maladie infectieuse causée par la bactérie mycobacterium tuberculosis, contagieuse, avec des signes cliniques variables. Die tuberkulose ist eine weltweit verbreitete bakterielle infektionskrankheit. La tuberculose pulmonaire se déclare lorsque les mycobactéries atteignent les alvéoles des poumons. Tuberkulose (schwindsucht) wird von bakterien verursacht.

Radiosurf

Tuberkulose Wikiwand. Tuberkulose (schwindsucht) wird von bakterien verursacht. Tuberculosis (tb) is an infectious disease usually caused by mycobacterium tuberculosis (mtb) bacteria. Tuberculosis generally affects the lungs. Es handelt sich um hohlräume, die durch verflüssigung. La tuberculose est une maladie infectieuse causée par la bactérie mycobacterium tuberculosis, contagieuse, avec des signes cliniques variables. Die tuberkulose oder tbc gilt als hoch infektiöse erkrankung und. Tuberkulose (tbc) oder schwindsucht gehört zu den chronischen infektionskrankheiten, die durch bakterien hervorgerufen wird. Unter ampicillin/levofloxacin ausbildung einer kaverne im rechten lungenunterlappen und eines infiltrates im linken lungenunterlappen. Lesen sie hier, wie man sich damit ansteckt, welche symptome sie verursacht und wie man sie behandelt. A tuberculose é uma doença infectocontagiosa causada pelo mycobacterium tuberculosis, popularmente conhecido como bacilo de koch. Die tuberkulose ist eine weltweit verbreitete bakterielle infektionskrankheit. Eine kaverne ist eine pathologische veränderung des lungengewebes, die im rahmen einer tuberkulose beobachtet werden kann. Elle arrive en tête des causes de mortalité d'origine infectieuse à l'échelle mondiale, devant le sida. Verlegung der patientin mit der verdachtsdiagnose einer. La tuberculose pulmonaire se déclare lorsque les mycobactéries atteignent les alvéoles des poumons.

Sammlung Radiologie Tuberkulose

Tuberkulose Die Vergessene Erkrankung Ppt Herunterladen. Lesen sie hier, wie man sich damit ansteckt, welche symptome sie verursacht und wie man sie behandelt. A tuberculose é uma doença infectocontagiosa causada pelo mycobacterium tuberculosis, popularmente conhecido como bacilo de koch. Unter ampicillin/levofloxacin ausbildung einer kaverne im rechten lungenunterlappen und eines infiltrates im linken lungenunterlappen. Die tuberkulose oder tbc gilt als hoch infektiöse erkrankung und. Tuberkulose (schwindsucht) wird von bakterien verursacht. Eine kaverne ist eine pathologische veränderung des lungengewebes, die im rahmen einer tuberkulose beobachtet werden kann. Die tuberkulose ist eine weltweit verbreitete bakterielle infektionskrankheit. Tuberkulose (tbc) oder schwindsucht gehört zu den chronischen infektionskrankheiten, die durch bakterien hervorgerufen wird. La tuberculose est une maladie infectieuse causée par la bactérie mycobacterium tuberculosis, contagieuse, avec des signes cliniques variables. Verlegung der patientin mit der verdachtsdiagnose einer. Es handelt sich um hohlräume, die durch verflüssigung. Tuberculosis generally affects the lungs. Tuberculosis (tb) is an infectious disease usually caused by mycobacterium tuberculosis (mtb) bacteria. Elle arrive en tête des causes de mortalité d'origine infectieuse à l'échelle mondiale, devant le sida. La tuberculose pulmonaire se déclare lorsque les mycobactéries atteignent les alvéoles des poumons.

Thorakale Manifestation Der Tuberkulose Springerlink

Nichttuberkulose Mykobakterien Im Sputum Springerlink. Tuberculosis (tb) is an infectious disease usually caused by mycobacterium tuberculosis (mtb) bacteria. A tuberculose é uma doença infectocontagiosa causada pelo mycobacterium tuberculosis, popularmente conhecido como bacilo de koch. Elle arrive en tête des causes de mortalité d'origine infectieuse à l'échelle mondiale, devant le sida. Die tuberkulose ist eine weltweit verbreitete bakterielle infektionskrankheit. Tuberkulose (tbc) oder schwindsucht gehört zu den chronischen infektionskrankheiten, die durch bakterien hervorgerufen wird. Es handelt sich um hohlräume, die durch verflüssigung. Unter ampicillin/levofloxacin ausbildung einer kaverne im rechten lungenunterlappen und eines infiltrates im linken lungenunterlappen. La tuberculose pulmonaire se déclare lorsque les mycobactéries atteignent les alvéoles des poumons. Tuberkulose (schwindsucht) wird von bakterien verursacht. La tuberculose est une maladie infectieuse causée par la bactérie mycobacterium tuberculosis, contagieuse, avec des signes cliniques variables. Tuberculosis generally affects the lungs. Verlegung der patientin mit der verdachtsdiagnose einer. Eine kaverne ist eine pathologische veränderung des lungengewebes, die im rahmen einer tuberkulose beobachtet werden kann. Die tuberkulose oder tbc gilt als hoch infektiöse erkrankung und. Lesen sie hier, wie man sich damit ansteckt, welche symptome sie verursacht und wie man sie behandelt.

Merheim Lungenklinik Tuberkulose

Weder Lungen Tbc Noch Pneumonie Wenn Symptome Und Befunde Falsche Fahrten Legen Medical Tribune. Die tuberkulose ist eine weltweit verbreitete bakterielle infektionskrankheit. Unter ampicillin/levofloxacin ausbildung einer kaverne im rechten lungenunterlappen und eines infiltrates im linken lungenunterlappen. Tuberkulose (tbc) oder schwindsucht gehört zu den chronischen infektionskrankheiten, die durch bakterien hervorgerufen wird. Verlegung der patientin mit der verdachtsdiagnose einer. Die tuberkulose oder tbc gilt als hoch infektiöse erkrankung und. Elle arrive en tête des causes de mortalité d'origine infectieuse à l'échelle mondiale, devant le sida. La tuberculose est une maladie infectieuse causée par la bactérie mycobacterium tuberculosis, contagieuse, avec des signes cliniques variables. La tuberculose pulmonaire se déclare lorsque les mycobactéries atteignent les alvéoles des poumons. Tuberculosis (tb) is an infectious disease usually caused by mycobacterium tuberculosis (mtb) bacteria. Tuberculosis generally affects the lungs. Es handelt sich um hohlräume, die durch verflüssigung. Lesen sie hier, wie man sich damit ansteckt, welche symptome sie verursacht und wie man sie behandelt. Tuberkulose (schwindsucht) wird von bakterien verursacht. A tuberculose é uma doença infectocontagiosa causada pelo mycobacterium tuberculosis, popularmente conhecido como bacilo de koch. Eine kaverne ist eine pathologische veränderung des lungengewebes, die im rahmen einer tuberkulose beobachtet werden kann.

Pneumologie Unsere Krankheitsbilder Im Rontgenbild

Image From Page 22 Of Die Klinik Der Tuberkulose Handbu Flickr. Unter ampicillin/levofloxacin ausbildung einer kaverne im rechten lungenunterlappen und eines infiltrates im linken lungenunterlappen. Tuberculosis (tb) is an infectious disease usually caused by mycobacterium tuberculosis (mtb) bacteria. Lesen sie hier, wie man sich damit ansteckt, welche symptome sie verursacht und wie man sie behandelt. Tuberkulose (tbc) oder schwindsucht gehört zu den chronischen infektionskrankheiten, die durch bakterien hervorgerufen wird. Eine kaverne ist eine pathologische veränderung des lungengewebes, die im rahmen einer tuberkulose beobachtet werden kann. Die tuberkulose ist eine weltweit verbreitete bakterielle infektionskrankheit. La tuberculose pulmonaire se déclare lorsque les mycobactéries atteignent les alvéoles des poumons. Die tuberkulose oder tbc gilt als hoch infektiöse erkrankung und. A tuberculose é uma doença infectocontagiosa causada pelo mycobacterium tuberculosis, popularmente conhecido como bacilo de koch. La tuberculose est une maladie infectieuse causée par la bactérie mycobacterium tuberculosis, contagieuse, avec des signes cliniques variables. Elle arrive en tête des causes de mortalité d'origine infectieuse à l'échelle mondiale, devant le sida. Verlegung der patientin mit der verdachtsdiagnose einer. Es handelt sich um hohlräume, die durch verflüssigung. Tuberkulose (schwindsucht) wird von bakterien verursacht. Tuberculosis generally affects the lungs.